Upper Eyelid Blepharoplasty: Before & After Photos
Surgeries by Dr. John Layliev, plastic surgeon in Melville, NY, serving Huntington, Plainview, Farmingdale, Syosset, Commack, and Long Island.
Blepharoplasty
This 55-year-old woman is 9 months after an upper and lower eyelid blepharoplasty with Dr. John Layliev in Long Island, NY. She looks and feels younger and more energized after her quad blepharoplasty.
Blepharoplasty
This 58-year-old woman is 2 months following an upper eyelid blepharoplasty done under local anesthesia. After her eyelid lift, her beautiful eyes are visible as they were intended to be and she feels younger and more confident.
Blepharoplasty
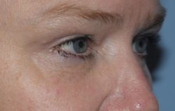
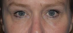
This 51-year-old woman is 2 months following an upper eyelid lift.
Blepharoplasty
This 55-year old woman was bothered by her asymmetric upper eyelids. She underwent left upper eyelid lift under local anesthesia to attain symmetry. She is pictured 6 weeks later.
Blepharoplasty
This 52-year-old woman is 10 months following a quad blepharoplasty, which is a combination of upper and lower eyelid lifts done in one procedure. Her eyes are more symmetric and she looks and feels younger.
Blepharoplasty
This 66-year-old woman is shown 4 months after a Quad Blepharoplasty and fat grafting by Dr. John Layliev, Long Island, NY. For her lower eyelids, lower eyelid fat pads were reduced in size, remaining fat was transposed to help reduce her deep tear trough lines, and extra skin was removed. For her upper eyelids, extra skin was removed, and her own fat was actually added into the area above her eyelids that previously looked so hollow and aged. She now looks and feels younger.
Blepharoplasty
This 35-year-old is pictured 3 months after an upper blepharoplasty with Dr. John Layliev in Long Island, NY. Her upper eyelid lift was done with just local anesthesia. She felt that her heavy upper eyelids made her look tired even though she felt well. It is so important to not overdo these procedures as was done traditionally, over hollowing the lids and causing a more aged appearance over time. Maintaining fullness under the brow actually keeps that youthful look
Blepharoplasty
This lovely 80-year-old woman is shown 3 months after repair of drooping upper eyelids. This is referred to as blepharoptosis repair. This procedure improves the position of the upper eyelids by repositioning one of the eyelid muscles that weakens with the aging process. This improves the visual field in severe cases and also aesthetically allows for a more awake and confident appearance. She actually did not have any upper eyelid skin removal. This procedure was done under local anesthesia. She is thrilled with her aesthetic results as well as with her improved visual field.
Blepharoplasty
This 46-year-old woman complained of asymmetry of her upper eyelids. She is pictured 3 months after an upper eyelid lift on the right and filler injection on the left. The filler was placed just under the left orbital rim to decrease the hollowing. She is extremely pleased with her improvement in symmetry.
Blepharoplasty
This 53-year-old woman is pictured 5 months after upper blepharoplasty with Dr. Layliev done under local anesthesia. She was concerned with hooding of her upper eyelids and is extremely pleased with her outcome. The procedure time was under 40 minutes and the patient was able to walk out of the office with no general anesthesia on board.



































